LES FIBROMES
Accueil » Fibromes
Table des matières
Les fibromes utérins : qu’est ce que c’est ?
Les fibromes utérins, aussi appelés myomes ou léiomyomes , sont des tumeurs bénignes (non cancéreuses) qui se forment dans la paroi musculaire de l’utérus. Très fréquents chez les femmes en âge de procréer, ils sont le plus souvent sans danger, mais peuvent parfois entraîner des symptômes gênants.
Ces excroissances peuvent être de tailles très variables : certaines sont aussi petites qu’un pois, tandis que d’autres peuvent atteindre la taille d’un melon.
Les fibromes peuvent entrainer une augmentation de taille de l’utérus.
Il existe trois grands types de fibromes, selon leur emplacement dans ou autour de l’utérus :
Les fibromes sous-séreux : situés à l’extérieur de l’utérus, ils se développent vers l’extérieur de l’organe. Ils n’affectent généralement pas les règles, mais peuvent provoquer une sensation de gêne ou de pression abdominale, surtout s’ils deviennent volumineux.
Les fibromes intra-muraux (ou interstitiels) : localisés dans l’épaisseur même de la paroi utérine.
Les fibromes sous-muqueux : ces fibromes se développent juste sous la muqueuse utérine ou à l’intérieur de la cavité. Ce sont ceux qui entraînent le plus souvent des saignements menstruels abondants et prolongés.
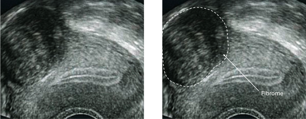
Chaque femme peut avoir un seul fibrome ou plusieurs, de types différents. Le diagnostic se fait généralement par échographie ou IRM, selon la situation.
Quelles sont les causes des fibromes ?

Les causes exactes du développement des fibromes ne sont pas encore entièrement connues, mais plusieurs facteurs sont aujourd’hui identifiés comme jouant un rôle important.
Les hormones
Les fibromes sont très sensibles aux hormones. Ces hormones féminines, naturellement produites par les ovaires, favorisent la croissance de la muqueuse utérine… mais aussi celle des fibromes. C’est pourquoi ils apparaissent surtout pendant la période reproductive, entre la puberté et la ménopause, et ont tendance à diminuer après la ménopause.
Les antécédents familiaux.
Une femme dont la mère ou les sœurs ont eu des fibromes a un risque plus élevé d’en développer elle aussi.
L’origine ethnique
Certaines études montrent que les femmes d’origine afro-caribéenne sont plus souvent concernées, avec des fibromes parfois plus précoces, plus nombreux ou plus volumineux.
L’âge
Les fibromes apparaissent rarement avant 20 ans, et deviennent plus fréquents à partir de 30 ou 35 ans.
Autres facteurs possibles
Des éléments comme le surpoids pourraient aussi augmenter le risque de développer des fibromes.
Il est important de rappeler qu’un fibrome n’est pas une maladie grave. C’est une pathologie fréquente, à l’origine de douleurs ou de saignements, parfois silencieuse, et qui mérite d’être connue pour être mieux prise en charge.
Les principaux symptômes des fibromes
De nombreuses femmes atteintes de fibromes ne ressentent aucun symptôme, et découvrent leur présence par hasard, lors d’une échographie de routine. Cependant, chez d’autres, les fibromes peuvent entraîner des troubles parfois importants dans la vie quotidienne.
Ce n’est donc pas la taille ni le nombre de fibromes qui importent mais bien les conséquences des fibromes sur la vie quotidienne.
Voici les symptômes les plus fréquents :
Règles abondantes et prolongées (ménorragies)
C’est le symptôme le plus courant. Les fibromes, en particulier ceux situés à l’intérieur de l’utérus (sous-muqueux), peuvent provoquer des règles trop longues et trop abondantes Cela peut entraîner une fatigue chronique liée à une anémie (manque de fer).
Douleurs pelviennes ou crampes (dysmenorrhées)
Certaines femmes peuvent ressentir une sensation de pesanteur ou de pression dans le bas-ventre, parfois accompagnée de douleurs pendant les règles ou en dehors.
Ballonnements ou gonflement abdominal
Des fibromes volumineux peuvent donner l’impression d’un ventre gonflé, comme une sensation de “masse” dans l’abdomen.
Besoin fréquent d’uriner ou constipation
Lorsque le fibrome appuie sur la vessie ou le rectum, il peut provoquer des troubles digestifs ou urinaires.
Douleurs pendant les rapports sexuels
Dans certains cas, la présence de fibromes peut rendre les rapports sexuels inconfortables ou douloureux.
Difficultés à concevoir ou fausses couches répétées
Certains fibromes, selon leur position, peuvent interférer avec la fertilité ou le bon déroulement d’une grossesse. Ce n’est pas toujours le cas, mais c’est une raison de plus pour consulter.
Important : la sévérité des symptômes ne dépend pas toujours de la taille des fibromes. Même un petit fibrome mal placé peut causer de fortes gênes, alors qu’un gros fibrome peut rester silencieux.
Évaluez rapidement votre situation grâce à ce court questionnaire. Vérifiez votre éligibilité et accédez à une consultation avec le Dr VAUCLIN.
Table des matières
Quels examens permettent de diagnostiquer un fibrome ?
Lorsqu’une femme présente des symptômes évocateurs de fibromes (comme des règles abondantes ou des douleurs pelviennes), plusieurs examens peuvent être réalisés pour confirmer leur présence, évaluer leur taille, leur nombre et leur localisation.
Voici les principaux examens utilisés :
L’examen gynécologique
Il s’agit de la première étape. Le professionnel de santé peut palper l’utérus et parfois sentir une augmentation de volume ou une forme anormale. Cet examen oriente vers la nécessité d’explorations complémentaires.
L’échographie pelvienne
Elle est indolore, rapide et permet de visualiser la taille et l’emplacement des fibromes (s’ils ne sont pas trop nombreux ou trop volumineux).
Elle peut se faire par voie abdominale ou endovaginale (avec une sonde introduite dans le vagin pour une meilleure visibilité).
L’IRM pelvienne (Imagerie par Résonance Magnétique)
L’IRM est l’examen de référence, parfois prescrite lorsque les fibromes sont nombreux, volumineux ou difficiles à localiser précisément. Elle permet une vision très précise de l’utérus et de ses structures. Elle est particulièrement utile avant une intervention ou pour différencier un fibrome d’une autre anomalie comme l’adénomyose ou les varices pelviennes.
L’hystéroscopie diagnostique
Il s’agit d’une exploration de l’intérieur de l’utérus à l’aide d’une fine caméra introduite par le vagin.
👉 À retenir : ces examens ne sont pas douloureux pour la majorité des femmes. Leur but est de mieux comprendre la cause des symptômes et de choisir le traitement le plus adapté à votre situation.
Comment traite-t-on les fibromes ?
Le traitement des fibromes dépend de plusieurs facteurs : la taille, le nombre, leur emplacement, mais aussi l’intensité des symptômes, le désir de grossesse et l’âge de la patiente. Dans certains cas, aucun traitement n’est nécessaire. Dans d’autres, une prise en charge médicale ou chirurgicale est proposée pour améliorer la qualité de vie.
L’absence de traitement : parfois, ne rien faire est la meilleure option
Tous les fibromes ne nécessitent pas d’être traités. Lorsqu’ils sont petits, silencieux (sans symptômes) et ne perturbent ni la fertilité ni la vie quotidienne
Cette approche est fréquente, notamment à l’approche de la ménopause, car les fibromes ont tendance à diminuer spontanément quand les hormones chutent.
Les traitements médicamenteux : soulager les symptômes sans chirurgie
Des médicaments peuvent être prescrits pour :
- Réduire les saignements abondants
- Soulager les douleurs
Voici les principaux traitements possibles :
- Anti-inflammatoires non stéroïdiens (AINS) : pour réduire les douleurs pendant les règles.
- Contraceptifs hormonaux (pilule, stérilet hormonal, patch) : pour réguler le cycle et réduire les pertes.
- Analogues ou antagonistes de la GnRH : ils bloquent temporairement la production des hormones sexuelles, mais ils ont des effets secondaires (bouffées de chaleur, ostéoporose…) et ne sont pas utilisés sur le long terme.
Les médicaments ne font pas disparaître les fibromes, mais peuvent suffire à soulager les symptômes.
Les traitements conservateurs : préserver l’utérus
Quand les médicaments ne suffisent pas et que la femme souhaite garder son utérus (et parfois sa fertilité), deux options principales existent :
La myomectomie
C’est une chirurgie qui consiste à retirer uniquement les fibromes, en laissant l’utérus intact. Elle peut se faire par voie hystéroscopique (pour les fibromes sous-muqueux), par cœlioscopie ou par chirurgie ouverte. Elle est souvent proposée aux femmes qui veulent avoir des enfants.
L’embolisation des artères utérines
C’est une technique radiologique, non chirurgicale, qui consiste à bloquer les vaisseaux qui alimentent les fibromes en injectant des micro-billes. Privés de sang, les fibromes rétrécissent. L’intervention se fait sous anesthésie locale ou sédation, avec un temps de récupération assez court.
Les résultats sur les saignements sont excellents (>90%) et on observe une réduction de volumes des fibromes de 70% à 1 an.
Vidéo schématique des étapes d’une embolisation des artères utérines pour fibromes utérin
L’hystérectomie : retirer l’utérus
L’hystérectomie est le seul traitement définitif des fibromes, puisqu’elle consiste à retirer totalement l’utérus. Elle peut être proposée lorsque :
- Les fibromes sont très volumineux ou multiples
Les autres traitements ont échoué
Comparaison : Embolisation ou hysterectomie ?
Critères | Embolisation des Fibromes Utérins | Hystérectomie |
Efficacité | Très efficace pour réduire la taille des fibromes et les symptômes chez la majorité des patientes. | Très efficace car retire totalement l’utérus et donc les fibromes. |
Risques | Faibles complications graves. Douleurs temporaires et symptômes pseudo-grippaux possibles. | Risques chirurgicaux classiques : infection, saignement, anesthésie, complications à long terme. |
Convalescence | Courte | Longue |
Fertilité | Utérus conservé, fertilité possible mais non garantie. Nécessite un suivi spécifique. | Fertilité définitivement perdue (utérus retiré). |
Risque cardiovasculaire | Pas d’augmentation connue du risque cardiovasculaire. | Risque accru de maladies cardiovasculaires à long terme : +30% d’infarctus si hystérectomie avant 50 ans |
En résumé
L’hystérectomie reste une intervention fréquente mais associée à des risques non négligeables, notamment sur la santé cardiovasculaire à long terme (+30% de coronaropathie si hystérectomie avant 50 ans).
L’embolisation des fibromes utérin représente une alternative moins invasive, avec une convalescence plus courte et un profil de risques moindre. Il est essentiel que les femmes soient bien informées de ces options pour faire un choix éclairé, adapté à leurs besoins et à leur projet de vie.
A quoi s'attendre après l'embolisation ?
- Efficace sur les symptomes
- Préservation de l'utérus
- Pas de cicatrice
- Hospitalisation courte (24 à 48 heures)
- Retour rapide à la vie quotidienne (7 à 10 jours habituellement)
Le déroulé de la prise en charge
Un suivi complet en 4 étapes
La consultation
Bilan complet de l’histoire de votre maladie, des symptômes et des traitements en cours
Relecture des examens d’imagerie
Présentation des différentes options thérapeutiques, avec leurs avantages et limites
Réponses à toutes vos questions pour définir une prise en charge personnalisée
Avant la procédure
Une infirmière vous contacte deux semaines avant pour organiser votre prise en charge
Elle répond à vos questions pratiques et vérifie que tout est prêt pour le jour J
Quelques jours avant l’intervention, elle se rend à domicile pour déposer le matériel nécessaire à votre retour à domicile
Le jour de la procédure
Accueil dans le service de radiologie et prise en charge par l’équipe d’anesthésie
Administration de médicaments pour assurer votre confort pendant l’intervention
Réalisation du geste sous anesthésie locale au pli de l’aine (durée moyenne : 45 à 60 minutes)
Surveillance post-interventionnelle avec une nuit d’hospitalisation
Le retour à domicile
Retour à domicile dès le lendemain de l’intervention, avec un cathéter pour poursuivre le traitement quelques jours
Suivi à domicile par une infirmière deux fois par jour, en lien direct avec le médecin
Reprise progressive des activités habituelles à partir d’une semaine
Consultations de suivi à 1 mois et 6 mois, avec une IRM de contrôle pour évaluer les résultats
L'embolisation : une alternative fiable à l'hysterectomie
L’embolisation des fibromes utérins est une alternative efficace et moins invasive à l’hystérectomie.
Elle permet de réduire la taille des fibromes et d’améliorer les symptômes chez la majorité des patientes, tout en conservant l’utérus.
Les risques graves sont rares. Les effets secondaires sont le plus souvent transitoires. La convalescence est courte : une à deux semaines suffisent généralement pour reprendre une vie normale.
L’hystérectomie, bien que très efficace, altére définitivement la fertilité et augmente le risque cardiovasculaire à long terme, notamment si elle est réalisée avant 50 ans (+30 % de risque d’infarctus).
FAQ – Tout savoir sur les fibromes utérins
Qu’est-ce qu’un fibrome utérin ?
Un fibrome est une tumeur bénigne qui se développe dans la paroi musculaire de l’utérus. Ce n’est pas un cancer et ils ne deviennent pas cancéreux.
Les fibromes peuvent-ils disparaître spontanément ?
Les fibromes ne disparaissent généralement pas d’eux-mêmes. Cependant, ils peuvent rester stables ou diminuer après la ménopause en raison de la baisse des hormones.
Est-ce que tous les fibromes provoquent des symptômes ?
Non, beaucoup de fibromes sont asymptomatiques et ne nécessitent pas de traitement. Certains peuvent provoquer des règles abondantes, des douleurs ou une sensation de pesanteur pelvienne.
Les fibromes peuvent-ils empêcher une grossesse ?
Cela dépend de leur taille et de leur emplacement. Les fibromes sous-muqueux (juste sous la paroi interne de l’utérus) peuvent gêner la fertilité, tandis que d’autres types ont généralement moins d’impact.
Les fibromes peuvent-ils devenir cancéreux ?
Les fibromes sont bénins et ne se transforment pas en cancer. Un cancer de l’utérus est une maladie différente et rare.
Il peut arriver qu’il soit difficile de distinguer fibrome et cancer, auquel cas, d’autres examens (biopsie) peuvent être envisagés
Quels examens sont nécessaires pour diagnostiquer un fibrome ?
Le plus souvent, une échographie pelvienne et/ou une IRM suffisent.
Quels sont les traitements possibles pour les fibromes ?
Selon les symptômes, la taille et le désir de grossesse, les options vont de la simple surveillance, aux médicaments, à des interventions comme l’embolisation, la myomectomie ou l’hystérectomie.
L’embolisation des fibromes utérins est-elle sûre ?
Oui, c’est une procédure peu invasive avec un bon profil de sécurité et une efficacité reconnue pour réduire les symptômes.
L’embolisation des fibromes utérins est-elle efficace ?
Oui, c’est une procédure permettant la réduction des symptômes chez plus de 90% des patientes.
Dois-je m’inquiéter si j’ai des fibromes ?
Dans la majorité des cas, les fibromes ne mettent pas la vie en danger. L’important est de consulter un professionnel de santé pour un diagnostic précis et un suivi adapté.
Sources :
J.H Ravina, A Aymard, N Ciraru-Vigneron, J Clerissi, J.J Merland, Embolisation des fibromes utérins : résultats sur 454 cas, Gynécologie Obstétrique & Fertilité, Volume 31, Issues 7–8,
Uterine-Artery Embolization or Myomectomy for Uterine Fibroids. Isaac Manyonda, Ph.D., Anna-Maria Belli, F.R.C.R., Mary-Ann Lumsden, M.D., Jonathan Moss, M.B., Ch.B., William McKinnon, Ph.D., Lee J. Middleton, M.Sc., Versha Cheed, M.Sc. Published July 29, 2020 N Engl J Med 2020;383:440-451
Laughlin-Tommaso, Shannon K. MD, MPH; Khan, Zaraq MBBS; Weaver, Amy L. MS; Smith, Carin Y. BS; Rocca, Walter A. MD, MPH; Stewart, Elizabeth A. MD. Cardiovascular and metabolic morbidity after hysterectomy with ovarian conservation: a cohort study. Menopause 25(5):p 483-492, May 2018.
Dr Vincent Vauclin
Spécialiste Radiologie interventionnelle à Marseille
Évaluez rapidement votre situation grâce à ce court questionnaire. Vérifiez votre éligibilité à un suivi spécialisé et accédez à la consultation avec le Dr VAUCLIN.