LES VARICES PELVIENNES
Accueil » Les varices pelviennes
Table des matières
Les varices pelviennes : qu’est-ce que c’est ?
Les varices pelviennes correspondent à une dilatation anormale des veines situées dans le bassin, en particulier autour de l’utérus et des ovaires.
Comme les varices des jambes, elles apparaissent lorsque le sang circule mal et stagne dans les veines, provoquant leur dilatation.
Elles concernent surtout les femmes jeunes ou d’âge moyen, souvent après une ou plusieurs grossesses.
Les varices pelviennes sont une cause fréquente mais méconnue de douleurs chroniques du bas-ventre appelé syndrome de congestion pelvienne.
De manière habituelle, les varices pelviennes ne sont pas à l’origine de saignements abondants.
Quelles sont les causes des varices pelviennes ?

Les causes sont multiples :
Grossesses multiples : les veines se distendent sous l’effet de l’utérus et des hormones.
Hormones féminines : l’œstrogène favorise la dilatation des veines.
Facteurs anatomiques : certaines femmes présentent une fragilité des veines ou une compression de la veine rénale « Nutcracker syndrome » (très rare).
Antécédents familiaux : tendance aux varices ou à l’insuffisance veineuse.
Quels sont les symptômes du syndrome de congestion pelvienne ?
Les varices pelviennes peuvent rester silencieuses, mais lorsqu’elles donnent des symptômes, ceux-ci peuvent être très gênants : on appelle cela le syndrome de congestion pelvienne
Varices des jambes
Récidivantes malgré les traitements classiques
Douleurs pelviennes chroniques
sensation de pesanteur, tiraillement, douleurs sourdes souvent aggravées en fin de journée, debout ou avant les règles
Douleurs pendant les rapports sexuels
Pendant ou après les rapports sexuels (dyspareunie)
Varices vulvaires
Visibles au niveau de la vulve, des fesses ou de l’arrière des cuisses.
Important : la sévérité des symptômes ne dépend pas de la taille des varices. Le syndrome de congestion pelvienne doit être évalué par un médecin
Évaluez rapidement votre situation grâce à ce court questionnaire. Vérifiez votre éligibilité et accédez à une consultation avec le Dr VAUCLIN.
Table des matières
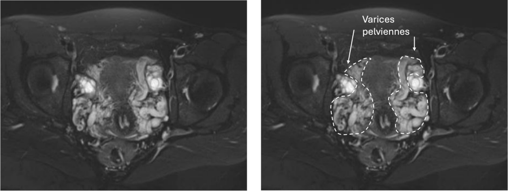
Quels examens permettent de diagnostiquer des varices pelviennes ?
Différents examens permettent de faire le diagnostic de varices pelviennes et d’exclure d’autres pathologies comme les fibromes ou l’adénomyose
Échographie Doppler pelvienne : premier examen, non invasif, permettant de visualiser les veines dilatées et le reflux sanguin.
IRM pelvienne : examen de référence, très précis pour évaluer l’extension et la sévérité des varices.
Phlébographie pelvienne : examen radiologique invasif, réalisé surtout en vue d’un traitement (embolisation).
Comment traite-t-on les varices pelviennes ?
Absence de traitement
Si les varices sont pas ou peu symptomatiques, aucun traitement ni suivi est nécessaire.
Médicaments
Certains veinotoniques ou traitements hormonaux peuvent soulager les symptômes, mais ils ne font pas disparaître les varices.
Traitement conservateur : l’embolisation
L’embolisation est aujourd’hui le traitement de référence.
- Réalisée par un radiologue interventionnel sous anesthésie locale.
- Introduction d’un micro-cathéter par une veine de la cuisse ou du bras.
- Injection d’agents d’occlusion pour bloquer la veine malade (Onyx – colle – aetoxysclerol)
- Le sang est redirigé vers les veines saines.
L’embolisation soulage les douleurs dans plus de 90 % des cas, avec une reprise rapide des activités (quelques jours).
Chirurgie (rare)
Une ligature ou ablation chirurgicale des veines peut être envisagée dans de rares cas, mais l’embolisation reste le traitement privilégié.
Vidéo schématique des étapes d’une embolisation des varices pelviennes pour syndrome de congestion pelvienne
A quoi s'attendre après l'embolisation ?
- Efficace sur les symptomes
- Préservation de l'utérus
- Pas de cicatrice
- Hospitalisation courte (retour à domicile le jour même ou le lendemain)
- Retour rapide à la vie quotidienne (7 à 10 jours habituellement)
Le déroulé de la prise en charge
Un suivi complet en 4 étapes
La consultation
Bilan complet de l’histoire de votre maladie, des symptômes et des traitements en cours
Relecture des examens d’imagerie
Présentation des différentes options thérapeutiques, avec leurs avantages et limites
Réponses à toutes vos questions pour définir une prise en charge personnalisée
Avant la procédure
Une infirmière vous contacte deux semaines avant pour organiser votre prise en charge
Elle répond à vos questions pratiques et vérifie que tout est prêt pour le jour J
Quelques jours avant l’intervention, elle se rend à domicile pour déposer le matériel nécessaire à votre retour à domicile
Le jour de la procédure
Accueil dans le service de radiologie et prise en charge par l’équipe d’anesthésie
Administration de médicaments pour assurer votre confort pendant l’intervention
Réalisation du geste sous anesthésie locale au pli de l’aine (durée moyenne : 45 à 60 minutes)
Surveillance post-interventionnelle avec une nuit d’hospitalisation
Le retour à domicile
Retour à domicile le jour même ou le lendemain de l’intervention, avec un cathéter pour poursuivre le traitement quelques jours
Suivi à domicile par une infirmière deux fois par jour, en lien direct avec le médecin
Reprise progressive des activités habituelles à partir d’une semaine
Consultations de suivi à 1 mois et 6 mois, avec une IRM de contrôle pour évaluer les résultats
Dr Vincent Vauclin
Spécialiste Radiologie interventionnelle à Marseille
Évaluez rapidement votre situation grâce à ce court questionnaire. Vérifiez votre éligibilité à un suivi spécialisé et accédez à la consultation avec le Dr VAUCLIN.